
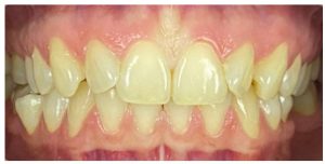
ZUBNE LJUSKICE – SINONIM ZA SAVRŠEN PRIRODNI OSMIJEH!
JESTE LI ZNALI DA VIŠE OD 80% LJUDI NIJE ZADOVOLJNO SVOJIM OSMIJEHOM?


Ukoliko i Vi spadate u taj postotak, zubne ljuskice mogle bi biti idealno riješenje za Vas.
Za razliku od zubnih krunica, zubne ljuskice su tanki slojevi izrazito čvrste staklo-keramike koje uz minimalno brušenje ili bez brušenja prirodnog zuba, postižu savršeni izgled prirodnog zuba, modeliran po Vašim željama i mogućnostima.
ZUBNE LJUSKICE PREKRIT ĆE NEDOSTAKE VAŠIH PRIRODNIH ZUBI KAO DA IH NIKAD NIJE NI BILO!


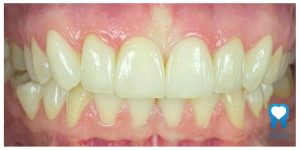
Površinske izmjene Vaš osmijeh mogu, u samo 2 do 3 posjete kod stomatologa, učiniti pravim Hollywoodskim osmijehom.

KAKO DO SAVRŠENOG OSMIJEHA?
Za početak su potrebne konzultacije s Vašim stomatologom od povjerenja – u Dental Centru 4Smile konzultacije, pregled i plan terapije su besplatni.
Na konzultacijama ćete saznati jeste li potencijalni kandidat za zubne ljuskice – u 80% slučajeva nedostaci na zubima mogu se riješiti zubnim ljuskicama, čak i poneki ortodontski slučajevi ukoliko pacijent nije voljan nositi zubni aparatić.
Nakon što izrazite svoje želje i mogućnosti, što Vam se sviđa, a što ne kod Vašeg osmijeha, stomatolog će Vam predložiti idealno riješenje za Vas.

Zubne ljuskice mogu biti idealno riješenje za različite estetske probleme osmijeha.
Ljuskicama za zube imamo mogućnost promijeniti:
- oblik,
- veličinu,
- širinu
- boju zubi.
Zubne ljuskice mogu:
- zatvoriti razmak među zubima
- ispraviti sitne nepravilnosti položaja zuba
- produžiti ili skratiti krunu zuba.

Napravljene su od staklo – keramike koja ima izrazitu prozirnost i prirodnost.

Tko bi rekao da keramika od 2 mm može biti tako učinkovita!
Postoje 3 vrste (tehnike postavljanja) zubnih ljuskica:
- Konvencionalne – minimalno se brusi prednja ploha zuba
- Minimalna preparacija – minimalno se prepariraju (bruse) samo određeni djelovi prednje plohe zuba
- Non prep ljuskice – izrada ljuskica bez preparacije (bez brušenja prirodnog zuba)
Vaš stomatolog će odrediti koji tip zubnih ljuskica je idealan za Vaš slučaj. Ponekad je potrebna kombinacija 2 ili 3 vrste zubnih ljuskica ovisno u kakvom su stanju Vaši prirodni zubi.
Kako bi postigli savršen osmijeh osim zubnih ljuskica važno je:
U Dental Centru 4Smile objasnit ćemo Vam sve postojeće opcije primijenjive za Vaš slučaj, trajanje tretmana i naravno cijenu istog.
S obzirom na to da često imamo akcije na naše usluge postoji mogućnost da uštedite 20-30% u usporedbi s cijenama kod ostalih stomatologa.
U trenutku Vašeg pristanka na ponuđenu terapiju doktor Ivan Antolković će u suradnji s iskusnim dentalnim tehničarom izraditi svaku pojedinačnu ljuskicu za Vaš novi savršen osmijeh


Tretman se izvodi uz lokalnu anesteziju i kompletno je bezbolan.
Nakon nekoliko proba slijedi cementiranje koje je također bezbolno i novi osmijeh je tu!
Najbolje od svega je što će Vaš novi osmijeh izgledati potpuno prirodno!
Iako su zubne ljuskice izrazito čvrste nisu neuništive!
Potrebno ih je čuvati kao i prirodne zube:
– kvalitetno održavanje oralne higijene i redovne posjete kod stomatologa (svakih 6 mjeseci) osigurat će Vaš novi osmijeh kao dugotrajno riješenje
– ukoliko patite od bruksizma – škripanje zubima po noći – preporučamo nošenje zaštitne udlage tijekom spavanja kako bi Vaš novi osmijeh ostao dugotrajno lijep.

Uz pravilnu njegu i redovne kontrole kod Vašeg stomatologa zubne ljuskice mogu potrajati 20 godina i više.
























