White smile for a white Christmas. We’re not sure if a snowy holiday season awaits us, but that doesn’t mean you can’t have a white Christmas.
Instead of looking at a city covered in white snow, you can look in the mirror and see a brilliantly white smile.
Just as snow is most beautiful when it’s white, you probably don’t want to see stains on your teeth. With the help of our dentists at Dental Center 4Smile, you can achieve a new kind of white Christmas to enjoy in the coming months.
How? Through professional teeth whitening!
Why do stains appear on teeth?
Snow initially looks white, but if you throw some dirt on it, it turns brown. The same goes for teeth.
Tooth enamel is porous, meaning it absorbs anything it comes into contact with, like a sponge. Certain foods and drinks can cause teeth staining, as well as bad habits like smoking. Your teeth can also be discolored due to genetics or past use of tetracycline antibiotics.
The only way to prevent teeth discoloration is to avoid foods and drinks known to stain your teeth and avoid habits that could leave marks on your teeth. It’s also helpful to regularly brush your teeth, floss, or use an oral irrigator (waterpik) and visit your dentists at Dental Center 4Smile for check-ups and professional tartar cleaning.
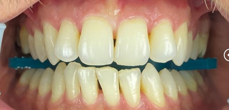
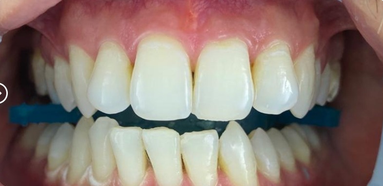
In some cases, brushing, flossing, and professional cleaning won’t be enough to maintain the white color of your teeth. This is where professional teeth whitening comes in.
What is professional teeth whitening?
Professional teeth whitening is a process performed in a dental office, where a dentist uses a product containing hydrogen peroxide as the active ingredient. Hydrogen peroxide acts as an oxidizing agent that breaks down and creates unstable free radicals that bind to molecules of organic pigment, resulting in a whitening effect.


When you opt for professional teeth whitening at our dental clinic in Zagreb, you not only get a safe treatment that won’t damage your teeth but also predictable results. Our dentists are here to help you achieve your goals. With our assistance, you can achieve a white smile with brilliant results that you won’t find with over-the-counter whitening products.
If you think teeth whitening could be the smile treatment you’re looking for, discuss your options with dentist Ivan Antolković. Schedule a free consultation at Dental Center 4Smile and enjoy a 20% discount on teeth whitening!
If you are a patient coming from abroad, you can contact us on social media and discuss all of your options with our dentist Ivan Antolković, prior to your visit.
Our professional and caring 4Smile team will help you with arranging your trip, including providing you accommodation near our clinic, as well as transport from and back to the airport.
You will find out that getting your new smile in Croatia is not a complicated venture at all, and while in Zagreb, you can also enjoy one of the most amazing Christmas markets in Europe!








