ALL ON 4 and
ALL ON 6
Dentist Europe
The best and fastest
solution for your smile
ALL ON 4 and
ALL ON 6
Dentist Europe
The best and fastest solution for your smile
RECLAIM YOUR SMILE IN 3 DAYS
Visit Europe and save over 60% of your budget
Your search is over! Dental Center 4Smile in Croatia is a clinic that offers the fastest, highest quality and most affordable solution for your smile right from the first visit.
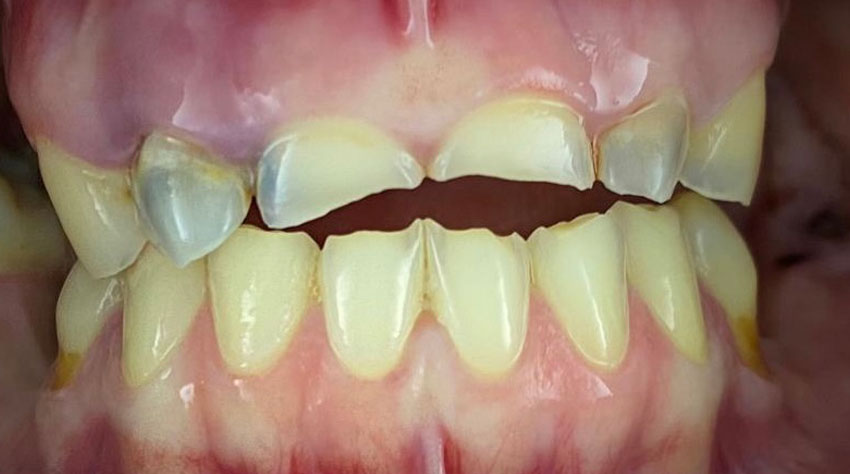
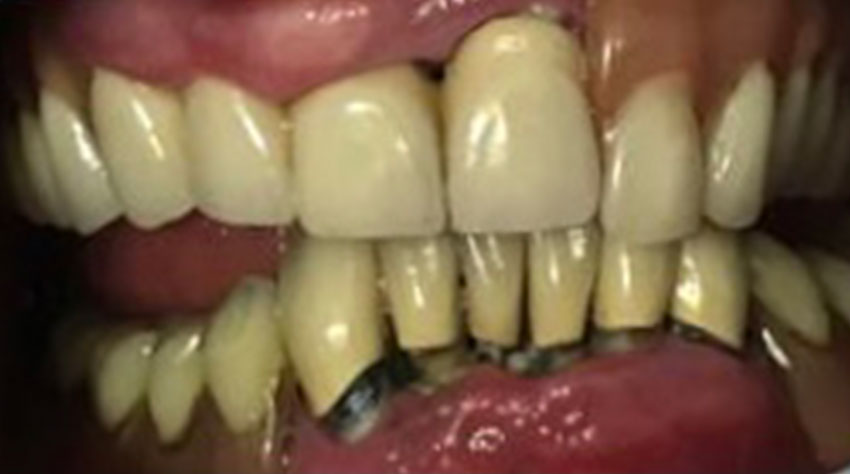
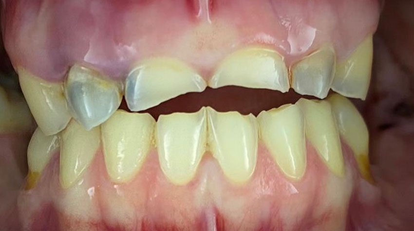
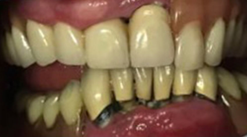
- All On 4 before
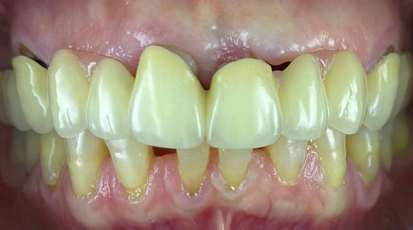
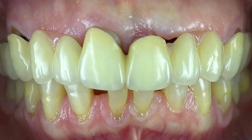
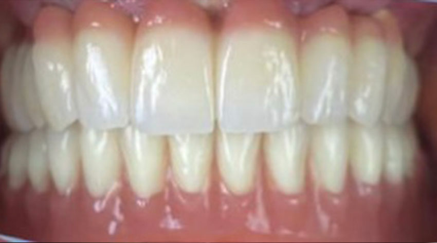
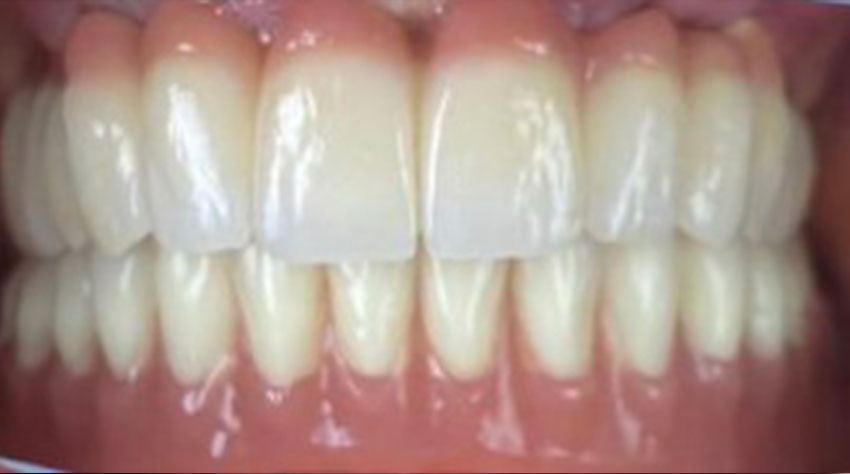
- All On 4 after
- All On 6 before
- All on 6 after
- All On 6 before
- All On 6 after

Ready to Look and Feel Amazing?
Select your plan of therapy now:


MEET YOUR DENTIST IN EUROPE, IVAN ANTOLKOVIĆ:
Take a walk in our clinic – Dental Centar 4Smile
Listen to the experience of our patients









