COMPLETE GENERAL DENTAL SERVICE IN ONE PLACE
ENDODONTICS
4Smile dental practice is equipped with the VDW Gold –the latest motor for mechanical treatment of tooth roots (VDW Gold), and an RVG intraoral camera, which is used to check the precision of each root filling.
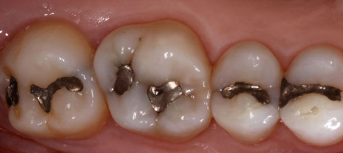
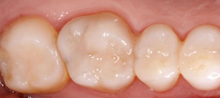
COMPOSITE FILLINGS
Composite fillings are used to remove primary caries and, in cases they are well made, prevent secondary caries formation.
4Smile Dental Center uses cutting-edge dental materials


PEDIATRIC DENTISTRY
Pediatric dentistry employs prophylactic and restorative treatments to keep primary and young permanent teeth healthy. Its patients are children under the age of 18.
4Smile Dental Center is a child’s best friend.










